Vrei să te bucuri de un zâmbet nou? Îți dorești să poți mânca, râde și vorbi fără probleme?
La HMDent îți punem la dispoziție servicii de implantologie realizate atent de medici specialiști. Cu ajutorul lor, vei defini un zâmbet armonios, atât din punct de vedere funcțional, dar și estetic. Echipamentele moderne și pasiunea pentru domeniu a medicilor noștri pot transforma orice vis în realitate.
[trustindex no-registration=google]
20.000+
pacienți tratați cu implant dentar
16
ani de experiență în Implantologie
15.000+
implanturi dentare inserate
Ai mai multe opțiuni în cazul implanturilor dentare

Implanturi dentare ce înlocuiesc unul sau mai mulți dinți
Sunt folosite pentru a înlocui unul sau mai mulți dinți pierduți. Acestea sunt inserate în osul maxilarului, care le adoptă în mod natural în cadrul procesului de osteointegrare. Astfel, are loc o încorporare a unui implant dentar în osul maxilarului, acesta devenind rădăcina artificială pentru noul dinte sau noua lucrare dentară.

Fast and Fixed – Dinți ficși în 24 de ore – Dantură fixă pe implanturi
Fast and Fixed este un sistem de implanturi dentare care se adresează pacienților cu edentație totală (adică lipsa tuturor dinților) sau pacienților care au dinții grav afectați, aceștia nemaiputând fi salvați. Datorită avansului tehnologic se insereaza mai puține implanturi dentare, 6 în arcada de sus, 4 în cea de jos, toate într-o singură intervenție.

Implant dentar pentru proteze
Din dorința de a scăpa pacientul de grija protezei dentare care se mișcă, se apelează la implanturi. Ele fixează proteza de os, printr-un sistem de capse incluse în proteza care culisează pe bonturile atașate la implanturi. Unele proteze pentru maxilar (exemplu proteza de sus) pot avea un schelet metalic în interior, care rigidizează structura protezei.
căt costă un implant dentar?
Implant dentar Biotec
Germania
2000 lei
1500 lei
- Consultație / Plan de tratament
- IMPLANT
- Anestezie / Manopera + materiale
- BONTUL PROTETIC STANDART
Implant dentar Neodent
Turcia
2500 lei
1800 lei
- Consultație / Plan de tratament
- IMPLANT
- Anestezie / Manopera + materiale
- BONTUL PROTETIC STANDART
Implant dentar IRES
Elveția
2600 lei
1800 lei
- Consultație / Plan de tratament
- IMPLANT
- Anestezie / Manopera + materiale
- BONTUL PROTETIC STANDART
Implant dentar Bredent
Germania
2800 lei
2200 lei
- Consultație / Plan de tratament
- IMPLANT
- Anestezie / Manopera + materiale
- BONTUL PROTETIC STANDART
Implant dentar Straumann
Elveția
4000 lei
2700 lei
- Consultație / Plan de tratament
- IMPLANT
- Anestezie / Manopera + materiale
- BONTUL PROTETIC STANDART
ofertă! -15% discount la lucrarea definitivă
Soluții de reabilitare completă pe implanturi
Sistem all-on-4
14.000 lei
/arcadă
NeoArch All-on-4 NEODENT by Straumann®
- Consultație specialist
- Tomografie computerizată CT maxilar/mandibulă
- Extracții
- 4 implanturi per arcadă
- Lucrare imediată provizorie
- Toate controlalele, inclusiv cele solicitate de pacient (în primul an)
- 15% discount la lucrarea definitivă
sistem all-on-6
17.000 lei
/arcadă
NeoArch All-on-6 NEODENT by Straumann®
- Consultație specialist
- Tomografie computerizată CT maxilar/mandibulă
- Extracții
- 6 implanturi per arcadă
- Lucrare imediată provizorie
- Toate controlalele, inclusiv cele solicitate de pacient (în primul an)
- 15% discount la lucrarea definitivă
sistem all-on-4
15.000 lei
/arcadă
Fast and Fixed 4 Bredent
- Consultație specialist
- Tomografie computerizată CT maxilar/mandibulă
- Extracții
- 4 implanturi per arcadă
- Lucrare imediată provizorie
- Toate controlalele, inclusiv cele solicitate de pacient (în primul an)
- 15% discount la lucrarea definitivă
sistem all-on-6
18.500 lei
/arcadă
Fast and Fixed 6 Bredent
- Consultație specialist
- Tomografie computerizată CT maxilar/mandibulă
- Extracții
- 6 implanturi per arcadă
- Lucrare imediată provizorie
- Toate controlalele, inclusiv cele solicitate de pacient (în primul an)
- 15% discount la lucrarea definitivă
De ce să alegi implanturi dentare realizate în clinica noastră?
Implantologia este ramura stomatologiei care a revoluţionat viziunea asupra metodelor de înlocuire a dinților absenți. Experiența căpătată în timp de chirurgii din echipa noastră, specializările în străinătate și utilizarea celor mai bune materiale fac din HMDent un centru de excelență în implantologie.

Totul e fără durere!
În ceea ce priveşte prevenirea durerii, pacienţii noştri au răspândit impresii lauditive la adresa clinicii, întrucât medicii specialişti îi asigură de o îngrijire profesională de o maximă eficienţă, reuşind, cu fineţe, să execute procedurile dentare în lipsa durerii.Pentru cazuri speciale, vizând pacienții anxioși sau cu afecțiuni generale complexe, avem posibilitatea de a opera sub anestezie generală, în funcție de amploarea intervenției chirurgicale și de opțiunea pacientului.

O echipă de specialiști!
Medicii clinicii HMDent au în comun profesionalismul și devotamentul pentru medicina dentară. Serviciile profesionale oferite de medicii noștri asigură atingerea așteptărilor fiecărui pacient prin atenția și grija pe care le-o poartă acestora. Nu ne oprim din a învăța și din a oferi pacienților satisfacția de a zâmbi cu încredere din nou!
Ne mândrim cu feedback pozitiv și pacienți mulțumiți
Iată ce spun pacienții noștri care au ales dantura fixă în 24 ore pe implanturi dentare, dar și alte proceduri stomatologice.
Dr. Hamad Fady – Medicul care te va ajuta să definești zâmbetul ideal
Energetic și perfecționist, Dr. Hamad Fady oferă îngrijire dentară de înaltă calitate, având o instruire constantă. Puteți fi siguri că experiența dvs. la clinica noastră va fi una pozitiva, relaxantă și plină de satisfacții. Este deosebit de priceput în proceduri chirurgicale și implanturi dentare, de la înlocuirea unui singur dinte cu implant până la înlocuirea mai avansată a tuturor dinților și proceduri chirurgicale avansate, cum ar fi ridicarea sinusurilor și grefele osoase.Dr. Hamad Fady este foarte blând și se asigură că pacientul se simte în largul său în timpul tratamentului.

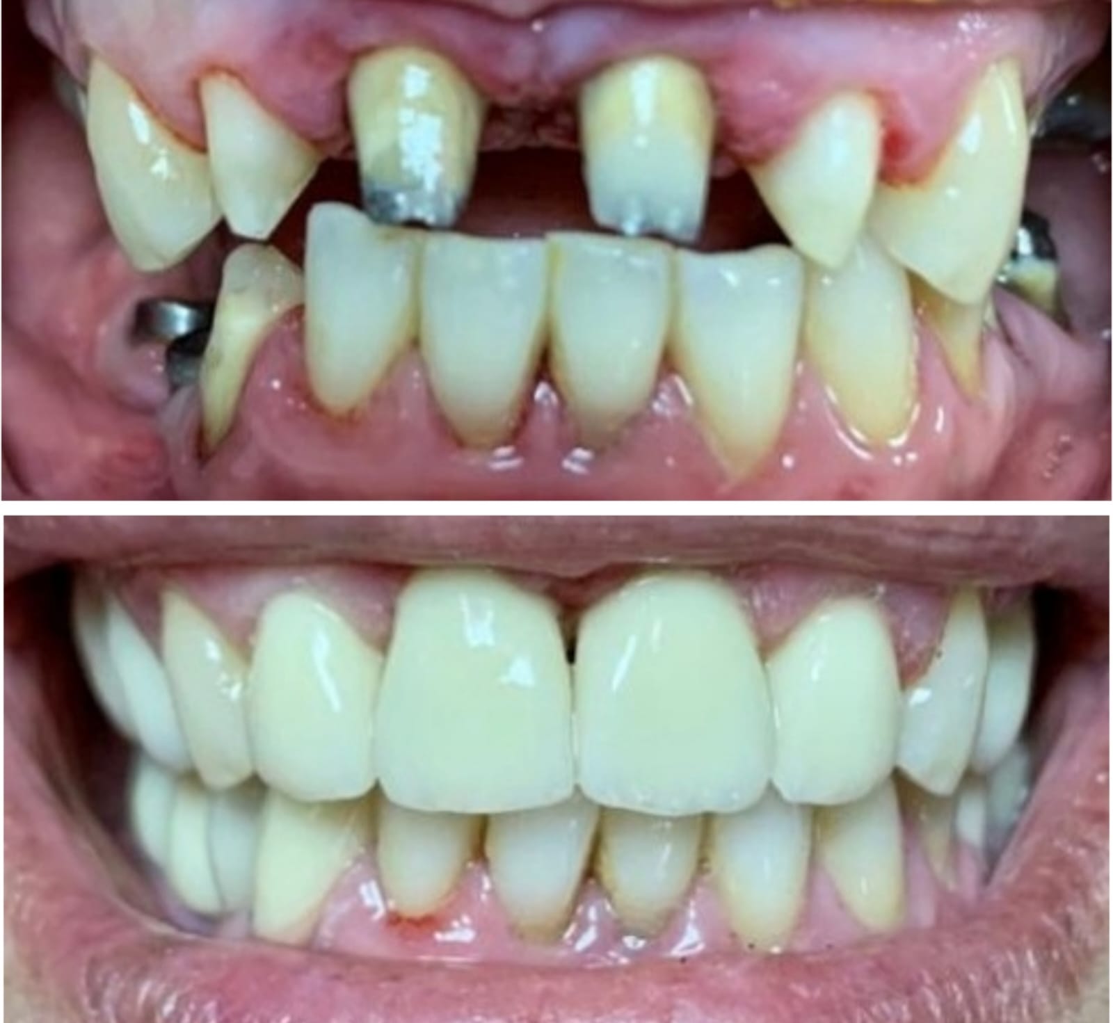
Zâmbetul perfect – În doar câteva ședințe
De-a lungul timpului am ajutat sute de pacienți să își recapete încrederea de a zâmbi din nou. Și pentru că faptele dovedesc mult mai multe lucruri decât o pot face cuvintele ți-am pregătit mai jos câteva transformări spectaculoase.













Bucură-te din nou de un zâmbet estetic, recapătă funcția masticatorie și integritatea dinților, pe termen lung!
Fie că dorești să beneficiezi de ofertă sau îți dorești un alt tip de implant dentar, completează formularul următor pentru a te programa la un consult la unul dintre doctorii noștri!
Certificările noastre de încredere








întrebări frecvente
Suntem aici să te ajutăm
prograM:
Luni – Vineri: 09.30 – 19.00
Sâmbătă – Duminică: închis
Adresa:
Str. Viesparilor 51, București